Este vídeo presenta un resumen con imágenes reales del caso clínico descrito en esta página (ver vídeo en YouTube)
Introducción
En este caso clínico, el Dr. Stavros Pelekanos abordó una situación compleja que implicaba varios retos de salud en el paciente, realizando una restauración del maxilar sin cirugía extensa, a la vez que consigue una transformación estética. Se utilizó PIC system para la captura del posicionamiento de implantes con el fin de conseguir un ajuste pasivo para la prótesis final.
Caso clínico
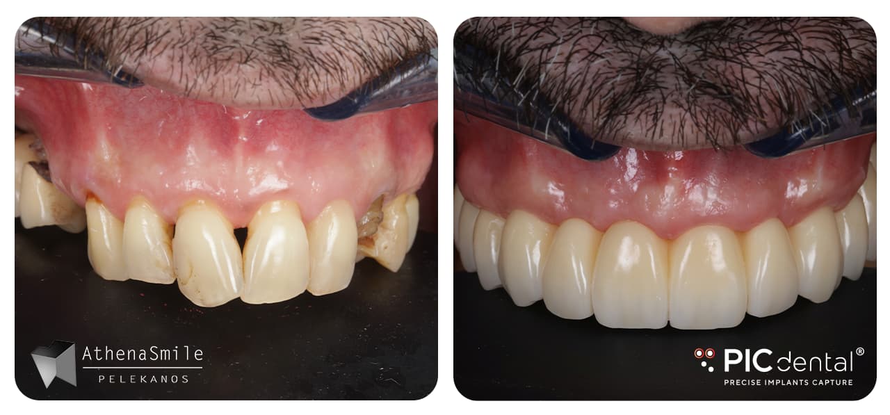
Un paciente varón sano de 52 años acudió a AthenaSmile Pelekanos para someterse a una rehabilitación de la arcada superior, con planes de abordar la mandíbula en el futuro. Sus principales preocupaciones incluían múltiples dientes ausentes, dolor localizado en ciertas zonas, dificultad para masticar e insatisfacción con la estética de su sonrisa.

Documentación fotográfica y radiográfica inicial del paciente
El paciente había descuidado su salud dental durante muchos años y deseaba una solución integral y a largo plazo para la restauración, idealmente sin múltiples procedimientos quirúrgicos ni molestias innecesarias.
Tras una minuciosa evaluación radiográfica y clínica, se diagnosticó al paciente periodontitis avanzada y múltiples dientes no restaurables. Además, se identificó una deficiencia ósea significativa en las regiones posteriores debido a la extensión de los senos paranasales.
Para determinar el plan de tratamiento más adecuado, se llevó a cabo un protocolo de diagnóstico exhaustivo. Este incluyó un escáner CBCT, fotografías intraorales y extraorales, escaneado intraoral, escaneado facial y análisis de seguimiento mandibular.
Tras evaluar los registros fotográficos, se identificaron problemas como una excesiva visualización de los dientes maxilares, un plano oclusal desigual y apiñamiento dental.
El plan de tratamiento dio prioridad al restablecimiento de la estética del paciente mediante el diseño del resultado restaurador final deseado utilizando el software Smilecloud antes de cualquier intervención clínica. Este enfoque permitió que el diseño protésico definitivo sirviera como referencia orientativa para el clínico durante todo el proceso de tratamiento. También dio al paciente la oportunidad de visualizar el resultado potencial en su propia cara, haciendo que el proceso pareciera real y factible.

Planificación del diseño realizada con el software Zirkonzahn, incorporando las referencias faciales del paciente procedentes de Facehunter

Planificación del posicionamiento del implante realizada con el software SMOP y guías apilables para una cirugía totalmente guiada (posicionamiento , implante y guía protésica)
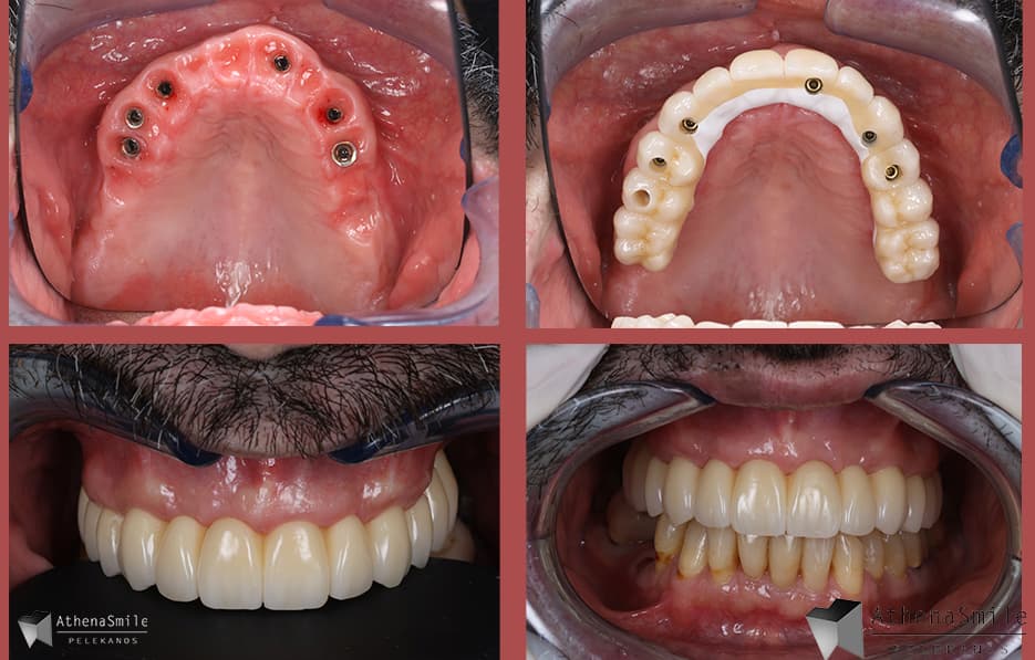
Tras una evaluación exhaustiva de los datos recogidos, y teniendo en cuenta el deseo del paciente de evitar múltiples intervenciones quirúrgicas, se decidió proceder a la extracción de todos los dientes maxilares. A continuación se procedió a la colocación guiada de seis implantes de matriz TRI en las posiciones 14, 13, 11, 23, 24 y 25, lo que permitió un diseño de encerado totalmente digital y sin pilares, además de la entrega de una restauración provisional de carga inmediata en una sola cita. Este enfoque eliminó la necesidad de un segundo procedimiento quirúrgico, como la elevación de seno.

Nuevos provisionales de PMMA

La segunda fase del tratamiento se programó para tres meses después de la osteointegración del implante. Se tomó una impresión inicial y se proporcionaron nuevas restauraciones provisionales para contornear los tejidos blandos. Tres semanas más tarde, se realizó un registro detallado de los tejidos blandos periimplantarios y de la posición tridimensional de los implantes mediante un escáner intraoral y PIC system.
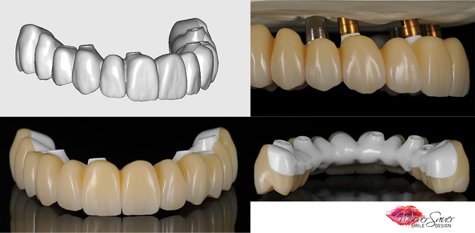
A continuación, se fabricó y entregó la restauración definitiva de arcada completa FP1 Zirconia ICE plus Prettau 3, que ofrece una estética, función y estabilidad a largo plazo optimizadas.

Prótesis definitiva diseñada en el laboratorio Werner Sauer Smile Design
El óxido de circonio ICE se eligió para este caso por su gran resistencia y resistencia a la fractura, lo cual es crucial dada la restauración FP1 con voladizos, así como por su excelente biocompatibilidad con los contornos de los tejidos blandos. En combinación con el óxido de circonio Prettau 3, esta solución ofrece al paciente una restauración altamente estética.


Este procedimiento fue realizado por el Dr. Stavros Pelekanos en la clínica AthenaSmile Pelekanos de Atenas, Grecia, en 2025.