Una nueva publicación en el Journal of Prosthetic Dentistry marca un hito importante para PIC app, justo después de la publicación del primer estudio científico sobre la precisión y el potencial de la fotogrametría basada en smartphone de PIC app.
Este es el primer artículo de técnica clínica de PIC app revisado por expertos que describe un flujo de trabajo de fotogrametría basada en smartphone para capturar posiciones y angulaciones de implantes en restauraciones de arcada completa, validando lo que los profesionales de todo el mundo han experimentado desde el lanzamiento de PIC app.
El Dr. Gómez-Polo dirigió un equipo de expertos para poner a prueba el flujo de trabajo digital de PIC app: esta publicación documenta un caso clínico completo desde la colocación inmediata del implante hasta la entrega final de la prótesis, demostrando la integración de PIC app en la práctica clínica real.

Interfaz de la aplicación para smartphone PIC app.
Ampliando los hallazgos de un estudio previo de precisión in vitro que analizaba las métricas de precisión de PIC app, este documento técnico presenta un caso clínico completo para un paciente que requería prótesis fijas implantosoportadas de arcada completa maxilar y mandibular con colocación y carga inmediatas en ambas arcadas.

PIC transfers colocados sobre pilares multiunit y apretados a 10 Ncm, y colocación de scanbodies sobre pilares multiunit para el escaneado intraoral.
El estudio describe la captura con PIC app como un proceso sencillo: tras descargar la aplicación en un smartphone compatible y activar una cuenta, los doctores pueden seguir las fases habituales de extracción del diente, colocación del implante, apriete del pilar y colocación de PIC transfers (transfers de impresión de fotogrametría).
A continuación, siguiendo las recomendaciones técnicas para una captura satisfactoria, el clínico toma una serie de fotos con PIC app, colocando el smartphone en diferentes ángulos hasta que la captura alcanza el 100% en pantalla. La aplicación genera automáticamente un PIC file con las posiciones y angulaciones precisas de los implantes. El proceso funciona tanto para capturas de prótesis provisionales como definitivas.

Diseño digital de restauraciones provisionales atornilladas y prótesis provisionales colocadas intraoralmente tras la fabricación asistida por ordenador.
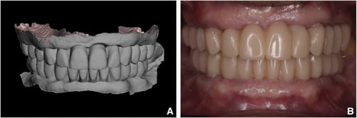
A continuación, el flujo de trabajo combinó los datos fotogramétricos de PIC app con el escaneado intraoral para obtener la forma del tejido blando. Esta integración facilitó el diseño y la entrega de prótesis provisionales de PMMA, seguidas de restauraciones definitivas monolíticas de óxido de circonio tras el periodo de osteointegración.
El equipo del Dr. Gómez-Polo destaca las ventajas clave documentadas en su caso clínico. El flujo de trabajo de PIC app elimina las impresiones convencionales, los procesos de ferulización y la verificación de ajuste pasivo típicos de los métodos analógicos, reduciendo el tiempo de sillón y manteniendo la precisión.
Como señalan los autores, "este protocolo simplificado mejora la accesibilidad y la portabilidad en entornos clínicos", lo que hace que PIC app esté disponible para clínicas de todos los tamaños. El flujo de trabajo digital también facilitó la entrega rápida de prótesis provisionales con confianza en la precisión del ajuste, lo que resulta especialmente valioso en situaciones de carga inmediata.
Como con cualquier técnica, la práctica y la atención a los detalles clave son esenciales para obtener los mejores resultados. El algoritmo de PIC app proporciona orientación para garantizar una cobertura completa y una calidad de datos suficiente durante todo el proceso de captura. PIC dental ofrece completos talleres de formación sobre PIC app y asistencia continua para ayudar a los profesionales a dominar la técnica rápidamente.
El equipo de investigación concluye que la técnica "ha demostrado su potencial para simplificar la provisión de prótesis implantosoportadas de arcada completa manteniendo una alta precisión y un flujo de trabajo eficiente", ofreciendo "una alternativa portátil y rentable a los sistemas de fotogrametría tradicionales".
Esta publicación marca un momento decisivo para la fotogrametría basada en smartphone de PIC app en implantología. Contextualiza el papel de PIC app en la expansión del ecosistema de fotogrametría de PIC dental, validado por más de 48 publicaciones científicas desde su lanzamiento inicial en 2010.
La fotogrametría de PIC dental ahora cabe en tu bolsillo. Para las consultas que acaban de iniciar su andadura en el full arch o aquellas que buscan una entrada accesible a la fotogrametría, PIC app ofrece una precisión de nivel clínico sin la complejidad de los equipos ni la inversión de capital de los sistemas tradicionales. Para las consultas de gran volumen, los formatos específicos (PIC system, PIC system Gravity y PIC system Station) siguen ofreciendo una precisión de referencia validada por más de una década de investigación.
¿Estás listo para experimentar la fotogrametría en tus casos de arcada completa? Suscríbete a PIC app y únete a los profesionales que están transformando sus flujos de trabajo con implantes gracias a la precisión basada en smartphone.
FUENTE
-
Gómez-Polo, M., Rodríguez-Fernández, E., Vasquez-Ramos, S., & Revilla-León, M. (2025). A digital workflow using a smartphone-based photogrammetry app for capturing implant positions in complete arch fixed implant-supported prostheses.
The Journal of Prosthetic Dentistry, 2025, ISSN 0022-3913. https://doi.org/10.1016/j.prosdent.2025.09.017